Helse

Taiwan:
Mann (56) måtte fjerne kokosnøtt fra endetarmen

Legene på sykehuset i Taiwan ble mildt sagt sjokkerte da de så CT-bildene.

Dette er altså en kokosnøtt.
Publisert Sist oppdatert

På jakt etter seksuell nytelse hadde den 56 år gamle taiwanske mannen presset en kokosnøtt inn i endetarmen mens han onanerte.

Det melder nyhetsbyrået Reuters og flere internasjonale medier, deriblant Daily Mail.

Etter to dager med sterke magesmerter forårsaket av forstoppelse og et sterkt press på urinblæren, kontaktet mannen E-Da-sykehuset i Kaohsiung City, Taiwan.

Og det var det bra han gjorde, ifølge lege Chen Zhiyi.

– Dette var et veldig sjeldent tilfelle. Pasienten var heldig som fortsatt var i live. Heldigvis fikk han ikke alvorlige indre skader. Han fikk beskjed om å ikke gjøre det igjen.

Ifølge Chen kunne både blæren og tarmen til mannen ha sprukket, noe som kunne ha ført til bukhinnebetennelse og satt livet hans i fare.

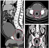
CT-bildene viser hvordan kokosnøtten hadde plassert seg inn i bukhulen på mannen. Foto: Reuters
CT-bildene viser hvordan kokosnøtten hadde plassert seg inn i bukhulen på mannen.

CT-bilder av mannen viser kokosnøtten sittende fast i pasientens endetarmshule, presset mot urinrøret i prostata og fikk blæren til å hovne opp. Legene prøvde først å få mannen til å presse ut kokosnøtten gjennom anus, men siden den var for stor, måtte de operere den ut.

Kokosnøtten målte rundt 7,5 centimeter lang og 5,7 centimeter bred ved bunnen. De tappet også rundt to liter urin som mannen hadde samlet i to dager.

Denne kokosnøtten hadde mannen presset opp i endetarmen. Foto: Reuters
Denne kokosnøtten hadde mannen presset opp i endetarmen.

Saken ble først publisert av forfatterne Yi-Chieh Chen og Chih-I Chen i British Journal of Surgery allerede for over et år siden, men fikk nytt liv igjen etter at Chen Zhiyi tirsdag denne uken gikk ut og advarte folk mot å bli for overivrige når det kommer til seksuell stimulering, og brukte saken som et eksempel.