Kan et mye brukt grunnstoff hjelpe mot Alzheimers sykdom?

En ny musestudie kommer med en rekke spennende funn, men de må bekreftes, sier ekspert.

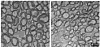
De to øverste bildene viser økt opphopning av amyloide plakk hos en mus med litium-mangel (til høyre), sammenlignet med en mus med normalt nivå (til venstre). De to bildene under viser endring for tau-protein.
Publisert

(Artikkelen er først publisert av forskning.no): Litium, et grunnstoff som er mye brukt i batterier, har også vært brukt medisinsk siden midten av 1800-tallet. 

I starten ble det forsøkt mot urinsyregikt, senere mot mentale lidelser, ifølge en oppsummerende artikkel fra tidligere i år. I dag brukes litium fortsatt som et humørstabiliserende legemiddel ved bipolar lidelse. 

En ny studie gir håp om at det metalliske grunnstoffet også kan brukes i behandling mot Alzheimers sykdom. 

Mindre litium i hjernen

Forskere ved Harvard Medical School i USA har nemlig funnet ut at mennesker med alzheimer ser ut til å ha mindre litium tilgjengelig i hjernen. 

Mus som manglet stoffet, fikk mer amyloide plakk og andre typiske kjennetegn på sykdommen. De ble også dårligere til å lære og huske. 

Påfyll av litium reverserte de negative endringene. 

– Det som imponerer meg mest med litium, er den omfattende effekten det har på de ulike aspektene ved Alzheimers sykdom, sier Bruce Yankner, professor i genetikk og nevrologi ved Harvard Medical School i en pressemelding.

– Jeg har virkelig ikke sett noe lignende i alle mine år med arbeid på denne sykdommen. 

Må bekreftes 

Mus som manglet litium, hadde tynnere myelin som omslutter nervecellene (til høyre) sammenlignet med normale mus (til venstre).

Det er ikke første gang at forskere har sett på en mulig kobling mellom litium og alzheimer. 

I en dansk studie fra 2017 fant forskerne ut at folk som hadde høyere nivå av litium i drikkevannet sitt, hadde redusert sjanse for å få demens. 

Personer som brukte litium som medisin, hadde også noe lavere risiko, ifølge en studie fra Storbritannia

Det er fra før gjort små kliniske forsøk med litium mot alzheimer. Det har gitt blandede resultater. 

Geir Selbæk er forskningssjef ved Nasjonalt senter for aldring og helse. (Foto: Nasjonalt senter for aldring og helse)

Geir Selbæk er forskningssjef ved Nasjonalt senter for aldring og helse. 

Han sier til forskning.no at den nye studien kommer med en lang rekke funn som er spennende, både for å forstå mekanismer ved utvikling av Alzheimers sykdom og i mulig behandling.

– Det er en veldig god studie, noe av det bedre jeg har lest på dette området de siste årene, sier Selbæk. 

Han sier at studien gir håp, men at man selvsagt ikke er i mål. 

Annonse

– Dette er den første studien av sitt slag. Selv om det er visse likheter mellom mus og mennesker, er det likevel en ganske lang vei å gå. 

Funnene må prøves ut i nye studier for å se om de kan bekreftes, og etter hvert med mennesker. 

Et metall skilte seg ut 

I den nye studien fikk forskerne tilgang til hjernevev som er donert fra avdøde personer. 

De målte nivået av spormetaller i to hjerneregioner hos mennesker med lett hukommelsessvikt eller alzheimer og hos personer uten hukommelsesproblemer. 

Av alle metallene var det bare litium som var betydelig redusert hos de med hukommelsessvikt. Det var i en av de to hjerneregionene, i prefrontal cortex, som typisk rammes ved Alzheimers sykdom.

Forskerne så også nærmere på de amyloide plakkene, som hoper seg opp utenfor nervecellene. Der fant de forklaringen. 

Personer med alzheimer hadde forhøyet nivå av litium i disse plakkene. Altså bindes spormetallet opp i plakket og blir utilgjengelig. 

Det samme så forskerne hos mus som er genredigert til å utvikle alzheimer-lignende sykdomstegn i hjernen.

Mus med litium-mangel slet med å lære

Mest lest

Forskerne testet deretter hva som skjedde om de drastisk reduserte mengden litium i kostholdet til mus. 

De påviste at mus på litiumfattig diett fikk mindre litium i hjernen. Det fikk følger. 

Annonse

Både mus med alzheimerlignende sykdom og friske mus dannet mer plakk i hjernen når de var på denne dietten. Det ble også opphopning av unormalt tau-protein, et annet kjennetegn på alzheimer. 

– Dernest endret det også inflammasjon, en tredje faktor ved Alzheimers sykdom, sier Selbæk. 

Det førte videre til tap av koblinger mellom nerveceller, dårligere opprydding av plakk og dårligere isolering av nervefibre med myelin.

Musene ble dårligere til å lære og huske. 

Forskerne så videre på mekanismer og mener at det kan handle om at det aktiveres et enzym som kalles GSK3β, forteller Selbæk. 

– Deretter så de på virking på DNA-nivå. Det viste seg at det var også en sammenheng der. Det som kalles transkriptom, måten DNA-et avleses på, påvirkes også av lavere litium.

Mus som manglet litium, hadde tynnere myelin som omslutter nervecellene (til høyre) sammenlignet med normale mus (til venstre). (Bilde: Yankner Lab)

Snudde utviklingen 

Det neste spørsmålet var om det å tilføre litium kunne bremse sykdomstegnene.

Det er vanligst å bruke litium i form av litiumkarbonat, men forskerne fant ut at denne forbindelsen lett blir fanget opp i amyloide plakk og satt ut av spill. 

En annen forbindelse, litium-orotat, slipper bedre til og blir mer tilgjengelig for hjernen, fant forskerne ut. 

Forskerne tilførte litium i drikkevannet til mus som var genredigert til å utvikle kjennetegn på alzheimer. 

Behandlingen hindret at musene fikk plakkdannelse i hjernen og at tau-proteiner floket seg i nerveceller. Litium-orotat ga langt bedre effekt enn litiumkarbonat.

Annonse

Hos eldre mus med mye amyloide plakk ble plakket redusert med 70 prosent. Musene ble også bedre til å lære og huske. 

Studien tyder på at litium har en viktig funksjon i hjernen. Forskerne foreslår også at mangel på stoffet kan være en driver ved Alzheimers sykdom. Litium fanges opp i plakk, noe som setter i gang en negativ spiral som skyldes mangel på stoffet. 

Giftig i høy dose 

Ledige stillinger

Vis alle ledige stillinger

Selbæk advarer mot å begynne med kosttilskudd eller å endre kosthold på grunn av den nye enkeltstudien. 

– Det ville jeg absolutt ikke gjort. Dette gir ikke grunnlag for det. 

Dersom litium skulle vise seg å virke, vil det være et billig legemiddel, men ikke uproblematisk å bruke. 

– De dosene som gis i dag for å behandle bipolar lidelse, er mye høyere enn det som vil være aktuelt som forebygging eller behandling av alzheimer. Det er et ganske toksisk medikament, det har et smalt terapeutisk vindu, sier Selbæk .

Litium blir svært giftig om man får i seg for mye. 

Forskerne påpeker at i tidligere små studier av litium mot alzheimer, er det gjerne brukt litiumsalter som lett binder seg til de amyloide plakkene. 

Å teste litium-orotat i stedet kan gi et klarere svar på om litium har påvirkning på alzheimer, påpeker hjerneforsker Ashley I. Bush ved University of Melbourne i en kommentarartikkel i Nature

Denne formen for litium vil muligens kunne gis i lavere dose, noe som kan gjøre behandlingen sikrere for pasienten. 

Referanse: 

Liviu Aron, m. fl.: «Lithium deficiency and the onset of Alzheimer’s disease», Nature, 6. august.