Helse

Break-danser fikk diger klump fjernet fra hodet

Problemet kan ramme så mange som én av fire breakere.

Mannen hadde lagt merke til hårtap og en utvekst oppå hodet. Men i de siste fem åra hadde klumpen vokst merkbart og blitt øm. (Illustrasjon: BMJ Case Reports 2024)
Publisert Sist oppdatert

(Denne saken ble først publisert på Forskning.no).

Breakdance er ikke for pyser.

Tidligere forskning har knyttet den spesielle danseformen til en hel del skader – typisk forstuinger, strekk og senebetennelser.

Men en helt spesiell skade forbundet med breakdance er såkalt headspin hole. Problemet beskrives av utøverne selv, men er også dokumentert i enkelte studier, som denne fra 2023.

Mange hadde hodeplager

En av de mest karakteristiske dansebevegelsene i breakdance, er nettopp headspin – altså å stå på hodet mens man spinner rundt. Dette er trolig tøffe greier for skallen.

Det finnes dokumentasjon for at mye headspinning kan føre til både hårtap, betennelse, ømhet og til og med blødninger under hodeskallen. En studie av 106 tyske breakdansere viste faktisk at hele 60 prosent av danserne hadde slike plager.

Og så er det denne klumpen.

Nesten én av fire breakdansere i studien hadde fått en hump av vev midt oppe på hodet. Og nylig kom altså en studie av nettopp en slik klump.

Se video: Olympisk break-danser latterliggjøres etter dette

Headspin i 19 år

Studien handler om en dansk mann tidlig i 30-åra med en lang karriere som breakdanser. Han hadde trent på headspin flere ganger i uka over en periode på 19 år.

Mannen hadde lagt merke til hårtap og en utvekst oppå hodet. Men i de siste fem åra hadde klumpen vokst merkbart og blitt øm. Det var på dette tidspunktet han kom i kontakt med Mikkel Bundgaard Skotting og Christian Baastrup Søndergaard ved Universitetssykehuset i København.

De to legene har nå gjort grundige undersøkelser av klumpen.

Kirurgi

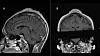
Det viste seg at utveksten bestod av fibrøst vev som lå mellom huden og hodeskallen. MRI-bilder viste også at underhuden var fortykket. Dessuten var selve hodeskallen litt tykkere under klumpen, sammenlignet med områdene rundt.

Mannen valgte å få klumpen fjernet med kirurgi. Under prosedyren filte legene også ned det ekstra beinvevet på hodeskallen. Etterpå ble mannen helt frisk, uten komplikasjoner.

Han var svært fornøyd med inngrepet. Undersøkelser av vevet viste at det ikke var noen ondartet vekst til stede. Men klumpen var et estetisk problem.

Før og etter operasjonen. (Illustrasjon: BMJ Case Reports 2024)
Før og etter operasjonen. (Illustrasjon: BMJ Case Reports 2024)

Endelig uten caps

– Nå er det mulig for meg å gå ut offentlig uten caps eller lue, noe som selvfølgelig er en veldig fin følelse, skriver mannen i en såkalt case-report som nå er publisert i det vitenskapelige tidsskriftet BMJ Case Reports.

Skotting og Søndergaard mener det er verdt å merke seg at det finnes svært lite forskning på headspin-skader. Og at kirurgi ser ut til å være en grei måte å behandle breakeres skalleklumper.

Referanse:

M. B. Skotting, C. B. Søndergaard, ‘ Headspin hole’: an overuse injury among breakdancers, BMJ Case Reports, oktober 2024.